Bà mẹ & trẻ em
Cách đây khoảng vài tháng, chị Nguyễn T.V (19 tuổi) thi thoảng xuất hiện những cơn đau ngực trái, cảm giác như có vật nhọn đâm thẳng vào ngực. Cơn đau chỉ xuất hiện vài giây và không lan ra xung quanh. Ban đầu, gia đình nghĩ chỉ là cơn đau tạm thời, nhưng tình trạng trên cứ lặp đi lặp lại và ngày càng kéo dài hơn khiến chị V thấy mệt mỏi, lo lắng. Cơn đau làm ảnh hưởng nghiêm trọng đến công việc và cuộc sống hằng ngày của chị. Chị V và gia đình đã được giới thiệu đến Bệnh viện Đa khoa Quang Khởi khám và điều trị.
🔎 Khi đến Bệnh viện Đa khoa Quang Khởi, chị đã được TS.BS. Hoàng Văn Lương – Phó Giám đốc Trung tâm Chẩn đoán hình ảnh và Y học hạt nhân, Bệnh viện Phổi Trung ương trực tiếp thăm khám điều trị.
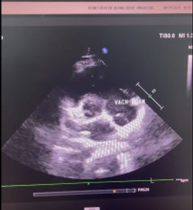
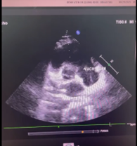
👉 Trong quá trình tầm soát, bác sĩ phát hiện chị mắc phải một dị tật bẩm sinh cực hiếm gặp trong buồng tâm nhĩ phải của quả tim, chỉ chiếm khoảng 0,2 % dân số thế giới – Quá phát van Eustachian (Giant Eustachian valve).
Hình ảnh Giant Eustachian Valve di chuyển trong buồng tâm nhĩ phải trên siêu âm tim của Chị Nguyễn T. V (mũi tên)
📌 Van Eustachian (EV) là phần còn sót lại từ phôi thai của van tĩnh mạch chủ dưới, giúp dẫn máu giàu oxy từ tĩnh mạch chủ dưới (IVC) đến lỗ bầu dục trong suốt thai kỳ. Phần còn sót lại này thường thoái triển sau khi sinh do tuần hoàn phổi được thiết lập. Trên thực tế, một số trường hợp nó vẫn còn tồn tại sau sinh và được coi là một bất thường lành tính trong hầu hết các trường hợp. Tuy nhiên, nếu không được chẩn đoán sớm và điều trị hiệu quả, EV có thể dẫn đến các biến chứng nguy hiểm.
⚠️ Dị tật quá phát van Eustachian có thể gây ra:
- Các cơn đau ngực đột ngột, kéo dài.
- Rối loạn dòng máu trong tim, ảnh hưởng đến tuần hoàn toàn cơ thể.
- Làm tăng dòng chảy phải-trái ở những bệnh nhân có khiếm khuyết vách liên nhĩ gây ra tình trạng tím tái.
- Gây tắc nghẽn dòng chảy từ tĩnh mạch chủ dưới về tim phải.
- Viêm nội tâm mạc.
- Huyết khối trong buồng nhĩ phải.
- Gây u nhầy hoặc u xơ nhĩ phải (right atrial myxoma or papillary fibroelastoma).
- Rung nhĩ.
- Suy tim.
💙 Bệnh viện Đa khoa Quang Khởi với đội ngũ y bác sĩ chuyên môn cao, trang thiết bị hiện đại, luôn sẵn sàng tầm soát những bệnh lý phức tạp, hiếm gặp, mang đến sự an tâm cho người bệnh và gia đình.
👉 Lời khuyên từ TS.BS. Hoàng Văn Lương chuyên gia của Bệnh viện Đa khoa Quang Khởi:
✅ Hãy chủ động tầm soát sức khỏe định kỳ.
✅ Đi khám ngay khi có dấu hiệu bất thường, dù nhỏ nhất.
✅ Phát hiện sớm, điều trị kịp thời, bảo vệ sức khỏe lâu dài.
📍 Bệnh viện Đa khoa Quang Khởi – Người bạn đồng hành tận tâm vì sức khỏe cộng đồng.
Tin liên quan


Giấy phép hoạt động khám bệnh,chữa bệnh : 225/BYT - GPHĐ cấp ngày 6/7/2018 của Bộ trưởng Bộ Y tế.